ホワイトニング
「ホワイトニング」はその名の通り、歯を白くする事。ここで言う「ホワイトニング」は、過酸化水素の含まれる薬剤により人工的に歯を白くする事です。 その方法には、歯科クリニックで行うオフィスホワイトニングと、自宅で行うホームホワイトニングがあります。
ホワイトニングの種類と特徴
| 治療の場所 | 歯科医院 | 自宅 |
| 治療の期間 | 1回の通院 | 最低2~3回 |
| 治療の方法 | 薬剤を塗布し、光を当てる | 睡眠時のマウスピース装着 |
| 治療の価格 | \15,000(回数による) | \31,500 |
| 痛み | ほとんど無い(当日のみ出ることがある) | 薬剤の濃度による |
| 効果 | 回数によって十分白くなる | 濃度によって十分白くなる |
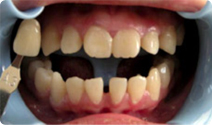
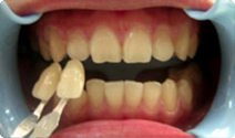
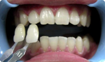
症例
![]() |
![]() |
|
| ホワイトニング前 | ホワイトニング後 | |
![]() |
![]() |
|
| ホワイトニング前 | ホワイトニング後 |
ホワイトニングの治療法
ビヨンドシステム

-
当院では「ビヨンドホワイトニングシステム」という最新の器械を入れております。 歯の汚れを除去し薬剤を歯に塗布します。その後右図のような形で、熱を発しない安全な光を照射します光照射を10分間、三回繰り返して終了です。時間は約1時間かかります。
ホワイトニングコース 1回目 ¥15,000 2回目 ¥12,000 3回目 ¥10,000 税込み
パールホワイト
ホワイトニング後のメンテナンスに有効な歯磨材
ホワイトニングをしても、普段の飲食物から汚れが歯面につき、色は必然的にそこから取り込まれます。「今日ついた汚れを今日のうちに除去」するために「パールホワイト」が開発されました。
発売開始後、非常に好評です。
ビヨンドホワイトニングのホームメンテナンスに、「パールホワイト」が最適です。
下丸子駅前歯科 ページトップへ



